先日、当院で施行した早期胃がんに対するESD(内視鏡下粘膜下層剥離術)を説明します。
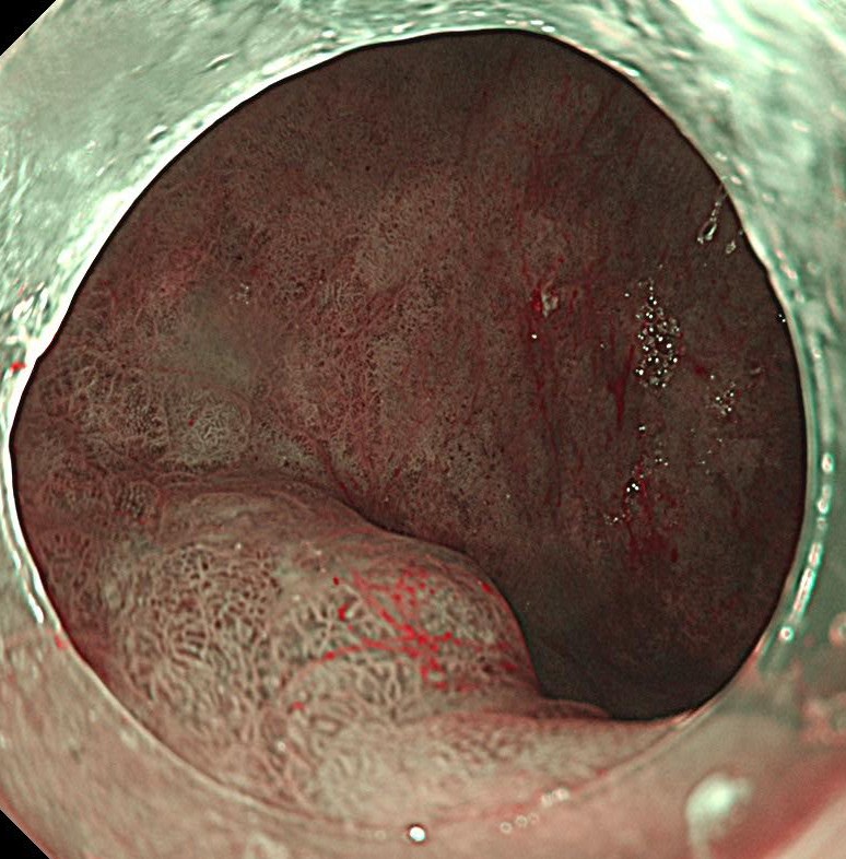
前庭部に中心陥凹、周囲発赤するIIA+IICがん部を認めます。

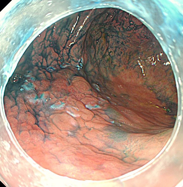
NBI(狭帯域光観察)を用いると腫瘍の不整像がはっきりわかります。

がん部を取り囲むようにマーキングをします。フラッシュナイフ2.5を用いています。電気メスはVIO300を使用しています。

フラッシュナイフを用いて全周切開します。粘膜下の局注は生理食塩水のみを使用しています。

粘膜下層剥離術を開始します。

フラッシュナイフで剥離をすすめます。VIO300のスイフトコアグレーションモードを使用しています。

粘膜切除後の欠損部です。この後、1ヶ月間、胃薬を内服してもらいます。

切除標本です。高分化型粘膜内癌であり、根治切除と診断されました。
