先日、当クリニックで施行した早期胃がんに対する内視鏡下粘膜下層剥離術(ESD)を説明します。
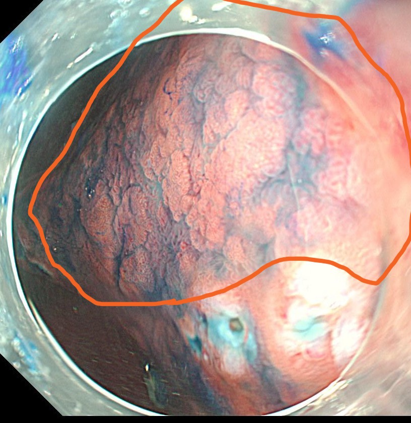
胃角小弯前壁に中心陥凹 周囲隆起するIIA+IIC早期胃がんを認めます。腫瘍径は30mmとやや大きな腫瘍です。

NBI(狭帯域光観察)で腫瘍の不整な新生血管が認識されます。

インジゴ散布で腫瘍の凹凸ははっきりします。

まずは腫瘍を取り囲むようにマーキングします。バイオ300のソフト凝固でマーキングしています。

マーキングの外側で全周切開します。フラッシュナイフを用いています。

粘膜下層剥離術を開始します。粘膜下局注はこの症例は生理食塩水とムコアップを使用しました。

オレンジのラインで切除していきます。

切除後の粘膜欠損部です。

摘出標本です。高分化型粘膜内癌であり、根治切除と診断されました。
