先日、当院で施行した直腸がんに対する内視鏡切除術を説明します。
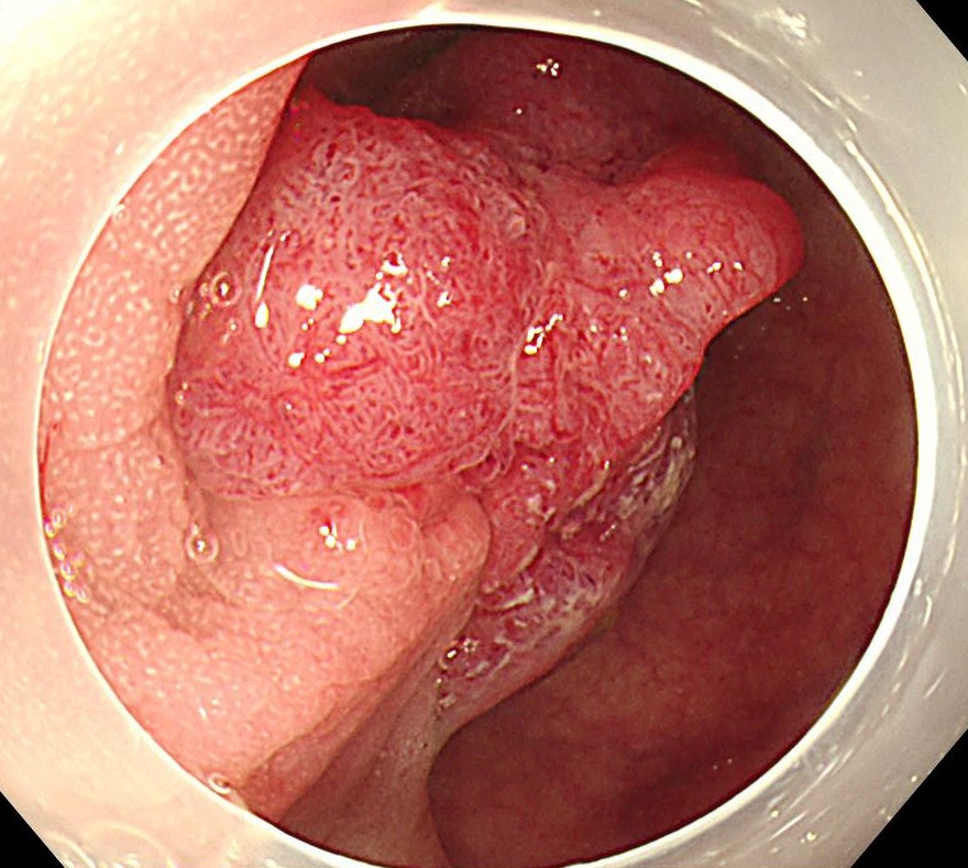
直腸S状結腸移行部に1型の腫瘍を認めます。


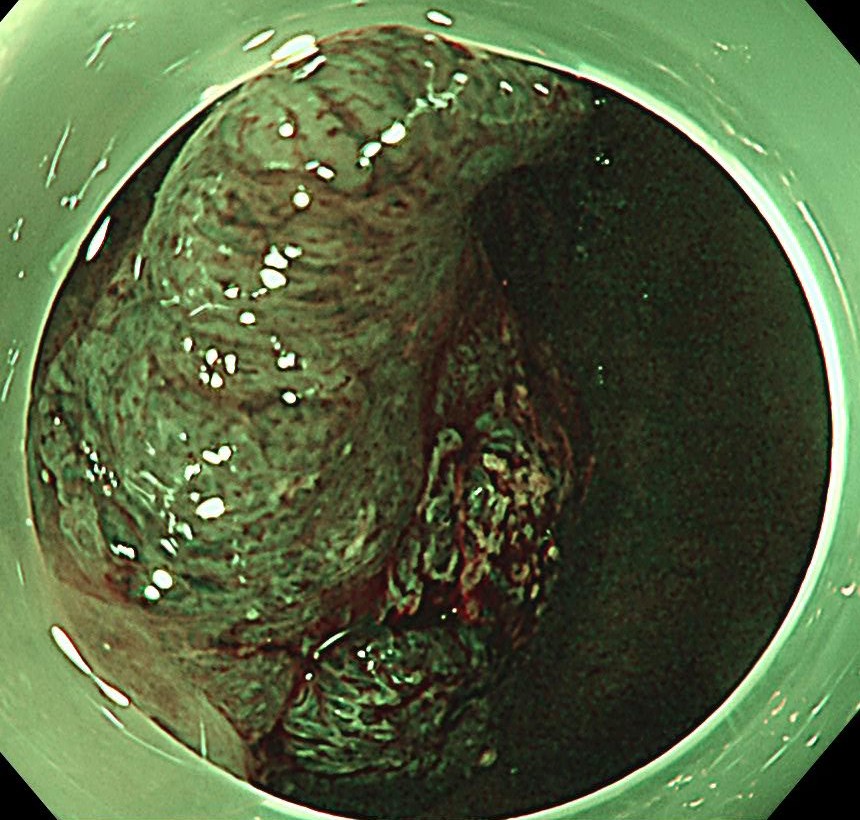
狭帯域光観察(NBI)では明らかにV型パターンであり、悪性を疑いますが、内視鏡治療可能と診断しました。

粘膜下に生理食塩水を局注し、ブルーのラインで切除します。

切除断端です。

切除断端はクリップにて閉鎖します。

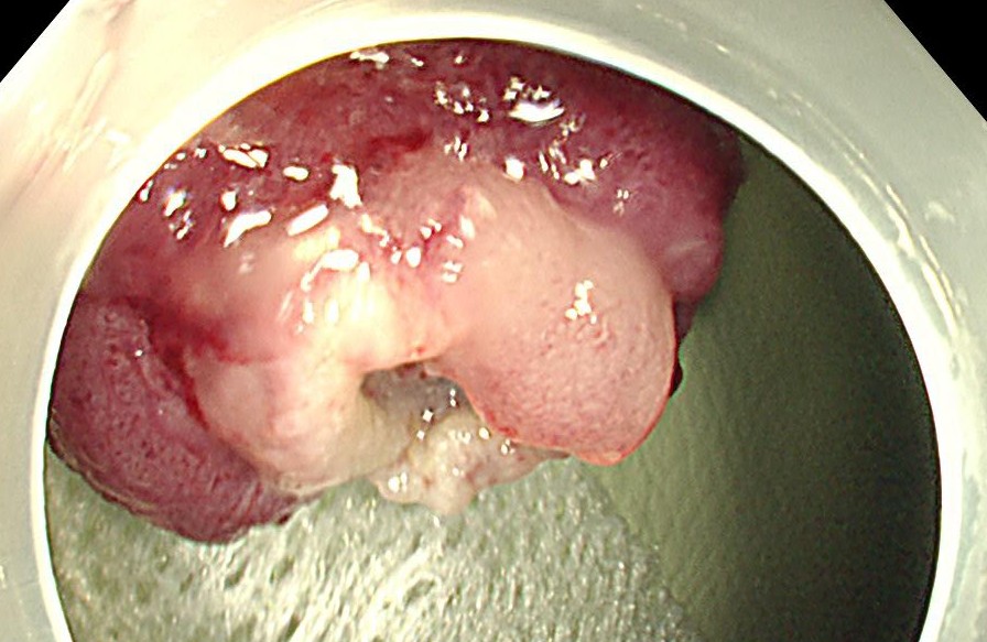
摘出した切除標本です。


MENU
CLOSE
初診の方の
WEB予約はこちらから
News
先日、当院で施行した直腸がんに対する内視鏡切除術を説明します。
直腸S状結腸移行部に1型の腫瘍を認めます。


狭帯域光観察(NBI)では明らかにV型パターンであり、悪性を疑いますが、内視鏡治療可能と診断しました。

粘膜下に生理食塩水を局注し、ブルーのラインで切除します。

切除断端です。

切除断端はクリップにて閉鎖します。

摘出した切除標本です。

