先日当院で施行した横行結腸がんに対する内視鏡切除を説明します。

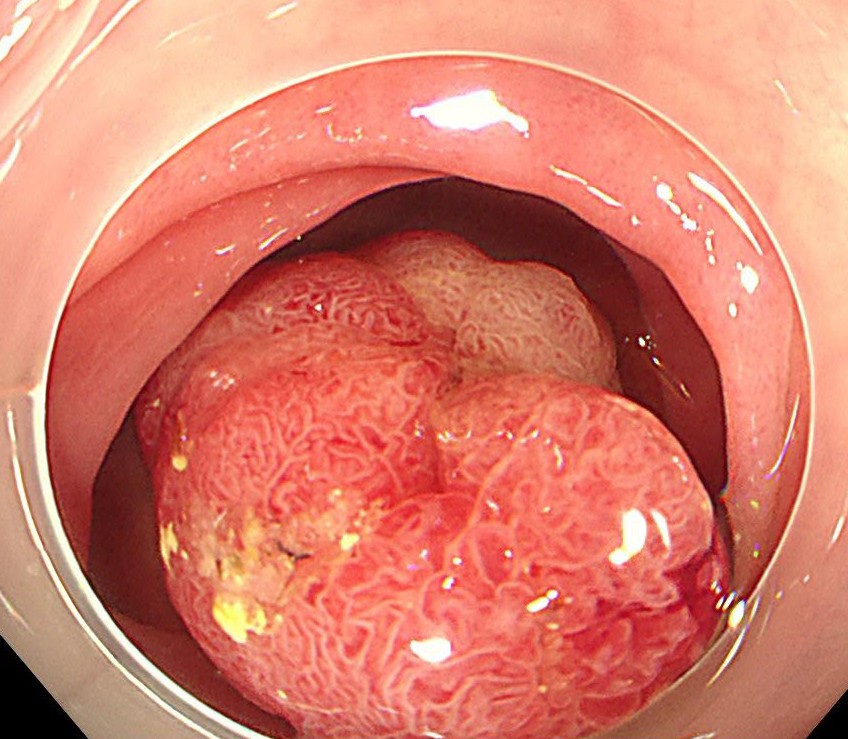
横行結腸に1型の腫瘍を認めます。

ピットパターンはおおむねIII型ですが、腫瘍基部と中心陥凹部はV型であり、早期の大腸がんが疑われます。

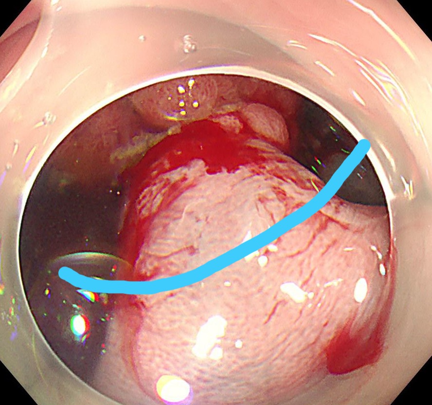
粘膜下に生理食塩水を局注し、電気メスで切除します(EMR)。

切除断端はクリップで閉鎖します。

切除標本です。病理検査にて高分化型粘膜内癌であり、根治切除と診断されました。