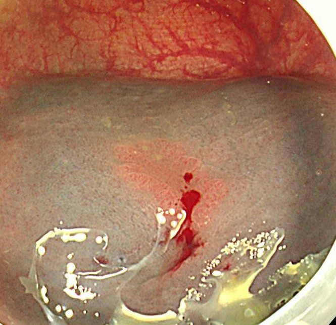
下行結腸に中心陥凹周囲隆起する不整粘膜を認めます。

狭帯域光観察 (NBI) にて境界明瞭なIIA+IIC lesionとしてとらえられます。

NBI弱拡大観察しますと、周囲はピットIII型が中心ですが、陥凹部はIV~V型を呈します。

早期がんが疑われますが、内視鏡治療可能と判断しました。ムコアップ注入を用いて粘膜下をリフトアップします。

前後左右にスネアキーとなるよう粘膜切開を置き、内視鏡的一括切除 (EMR) しました。

切除断端はクリップ閉鎖します。病理学的に根治切除と診断されました。