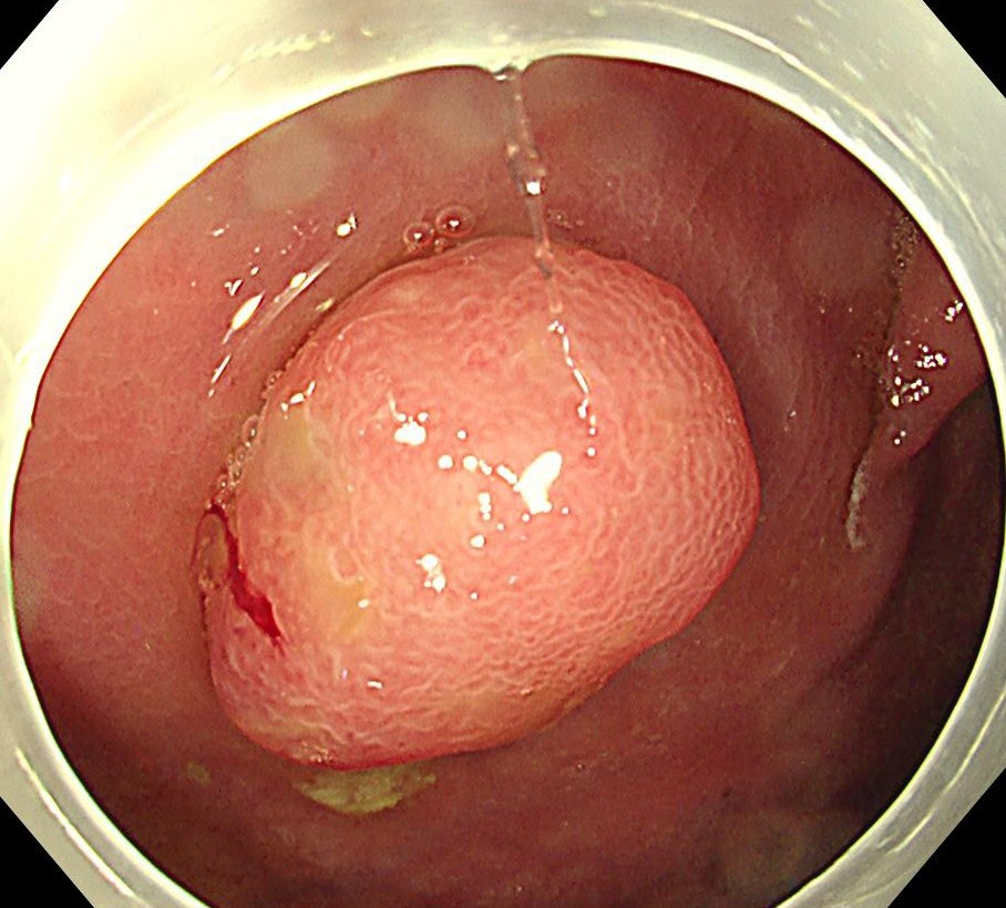
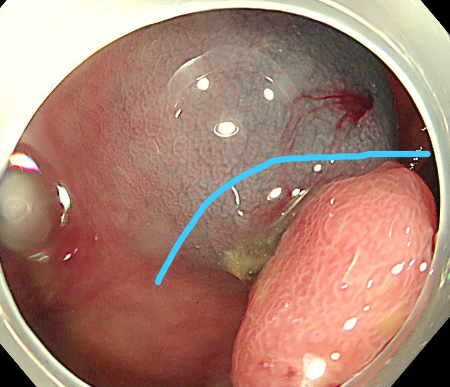
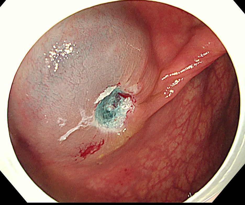
中年女性、下血にて来院。大腸内視鏡をしますと、直腸に15mm大のポリープを認めます。NBI(狭帯域光観察)では構造異形は乏しく、良性ポリープと診断しましたが、下血原因と考え、型のごとく内視鏡切除(EMR)しました。






病理診断にて直腸のSSA/P (sessile serrated adenoma/polyp 鋸歯状腺腫) と診断されました。大腸の鋸歯状腺腫はよくみられる病変ですが、右側結腸に多く、直腸は過形成性ポリープがほとんどで、直腸SSL (鋸歯状病変)は比較的まれです。またその多くが平坦な病変であるため、上記のようなⅠ型のポリープ形状は珍しい病変と思われます。最近の研究結果で直腸の隆起型のSSA/Pはがん化率が高いとする報告も散見され、注意を要する病変と思われます。