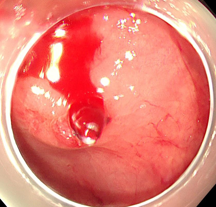
大量下血にて緊急大腸内視鏡施行、直腸Raに噴出性出血を伴う露出血管を認め、Dieulafoy潰瘍と診断しました。


まずはコアグラスパーを用いてソフト凝固60で止血します。

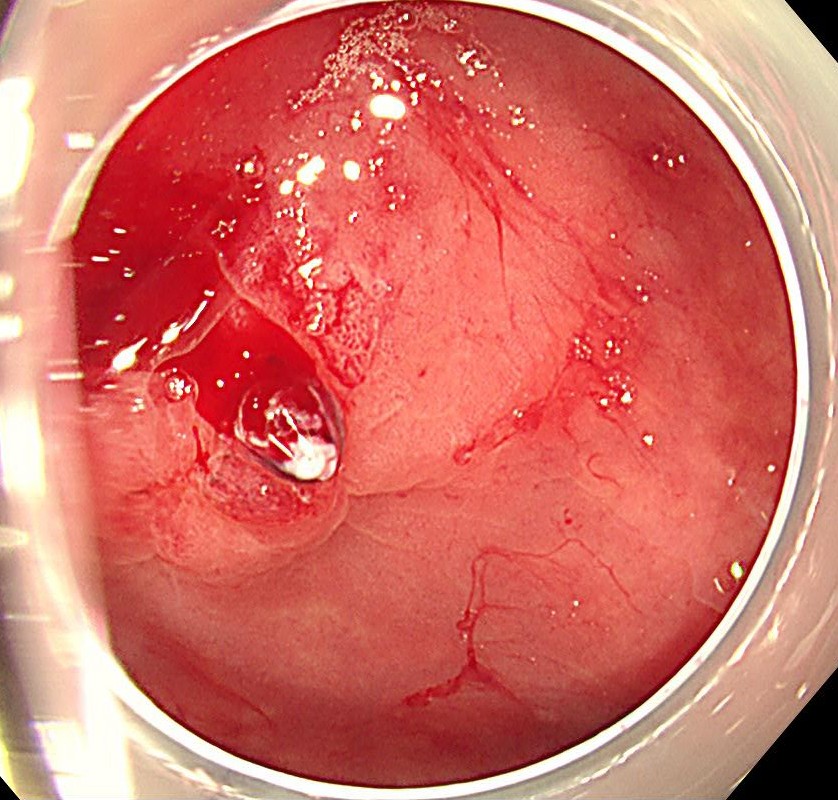
止血確認後、クリップで血管縫縮し、完全止血します。

MENU
CLOSE
初診の方の
WEB予約はこちらから
News
大量下血にて緊急大腸内視鏡施行、直腸Raに噴出性出血を伴う露出血管を認め、Dieulafoy潰瘍と診断しました。


まずはコアグラスパーを用いてソフト凝固60で止血します。

止血確認後、クリップで血管縫縮し、完全止血します。
