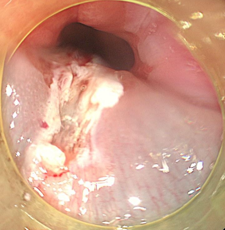
嚥下障害を有する若年女性の患者さん:胃内視鏡しますと、バレット食道 (SSBE) とその境界にポリープを認めます。


狭帯域光 (NBI) 観察しますと、腫瘍血管は認めず、良性の炎症性ポリープと診断しました。有症状であり、また今後のがん化のリスクも否定できない (エビデンスレベルは低いですが) ため、治療対象と判断しました。

型のごとく、内視鏡切除 (EMR) しました。病理学的には悪性所見はありませんでしたが、高度な炎症細胞浸潤所見を認めました。典型的なバレット食道であり、今後も逆流性食道炎治療を継続しながら、注意深く経過をみていく必要があります。


